Gefäßultraschall /

Farbdopplersonographie

Gefäßultraschall/Farbdopplersonographie wann?

 
Diese Untersuchung wird zur Beantwortung folgender Fragestellungen / bei folgenden Beschwerden eingesetzt:
 
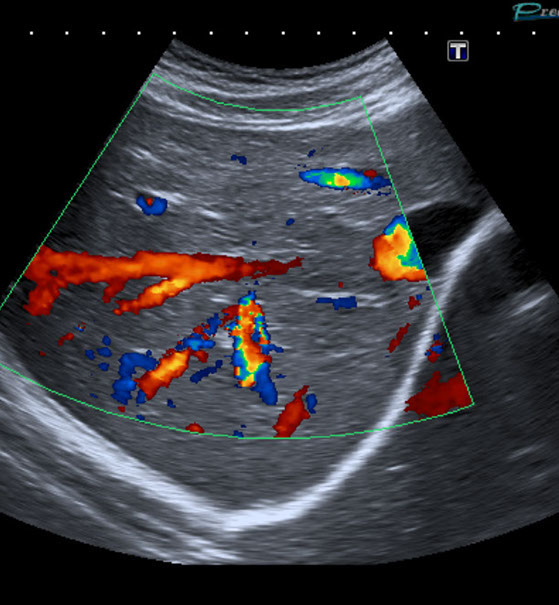
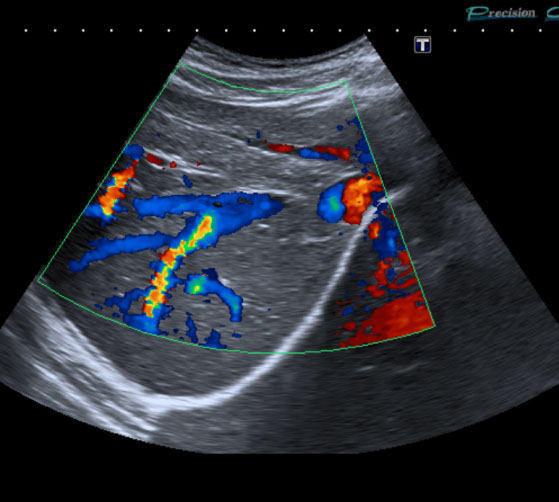
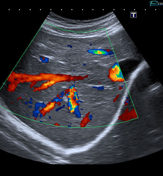
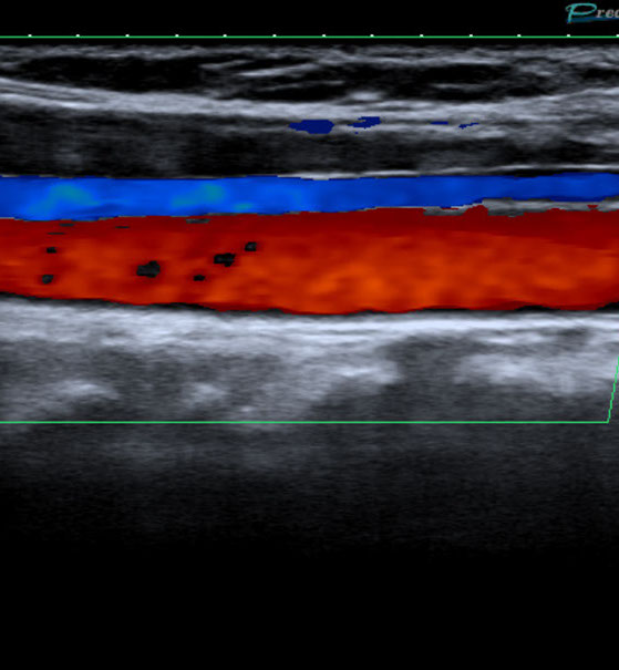
Die Farbdopplersonographie ist eine zuverlässige Methode zur Beurteilung von Arterien und Venen. Die Farbdopplersonographie kann einerseits Veränderungen der Gefäßwände (z.B. arteriosklerotische Plaques) und dadurch resultierende Engstellen (Stenosen) nachweisen, andererseits durch Blutflussgeschwindigkeitsmessungen den Schweregrad der Stenosen beurteilen. Risikofaktoren für Arteriosklerose und damit für Schlaganfall und Herzinfarkt sind z.B. erhöhte Blutfettwerte, hoher Blutdruck (Hypertonus), Nikotinkonsum.
 
Die in unserer Ordination am häufigsten angewendeten farbdopplersonographischen Untersuchungen betreffen:
 
  • Die hirnversorgenden Arterien (speziell Halsschlagader), zur Abklärung von Durchblutungsstörungen, Schwindelattacken, Sehstörungen, Ohrensausen (Tinnitus) oder bei unklaren pulsierenden Tumoren am Hals.
  • Die peripheren Arterien (speziell Beinarterien) zur Abklärung von arteriellen Durchblutungsstörungen, zur Kontrolle nach gefäßchirurgischen Eingriffen oder Gefäßdilatationen und Gefäßrekonstruktionen.
  • Die peripheren Venen (speziell tiefe Beinvenen) zum Ausschluss, zur Lokalisierung tiefer und oberflächlicher Gerinnsel (Thrombosen/Thrombophlebitiden), für spezielle präoperative Fragestellungen bei Krampfadererkrankungen und bei unklaren Beinschwellungen.
  • Die großen Bauchgefäße (speziell Bauchschlagader) zur Erfassung von Gefäßaussackungen (Aneurysmen) oder Engstellen (Stenosen) sowie bei Verschlüssen, Thrombosen der Pfortader und anderer Bauch- und Beckengefäße.
TERMINVEREINBARUNG
NOTWENDIG!
Eine Vorbereitung auf diese Untersuchung ist nicht notwendig!
 
Sie haben Fragen?
Bitte kontaktieren sie uns!
Wir informieren und beraten Sie gerne!